top of page
MASCHERINE
Gli allineatori trasparenti sono dispositivi ortodontici rimovibili che allineano i denti in modo graduale e discreto. Realizzati su misura, esercitano una leggera pressione e vengono sostituiti periodicamente. Sono indicati sia per adolescenti che per adulti, come alternativa estetica all’apparecchio fisso.
Caso 1

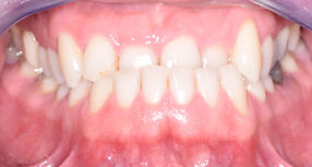
Prima

Durante

Dopo

Prima

Durante

Dopo

Prima

Durante

Dopo
Caso 2

Prima

Durante

Dopo

Prima

Durante

Dopo

Prima

Durante

Dopo
bottom of page
