top of page
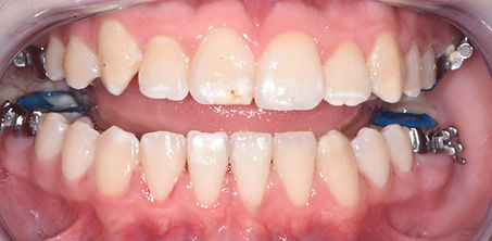
MHI
È una condizione in cui lo smalto di alcuni molari e incisivi permanenti è meno mineralizzato, quindi più fragile e sensibile.
Va gestita con protocolli mirati per rinforzare i denti e prevenire danni.

Prima

Dopo
bottom of page
È una condizione in cui lo smalto di alcuni molari e incisivi permanenti è meno mineralizzato, quindi più fragile e sensibile.
Va gestita con protocolli mirati per rinforzare i denti e prevenire danni.

